Cavernous Malformation disebut juga Cevernous Angioma yang lebih dikenal dengan nama cavernoma.
Cavernoma adalah kelainan pembuluh darah otak berupa kumpulan pembuluh darah kapiler dan vena yang melebar dan membentuk cavernoma. Lapisan endotel pada pembuluh darah ini sangat lunak, sehingga mudah pecah dan menyebabkan perdarahan di otak dan kejang atau deficit neurologis fokal.
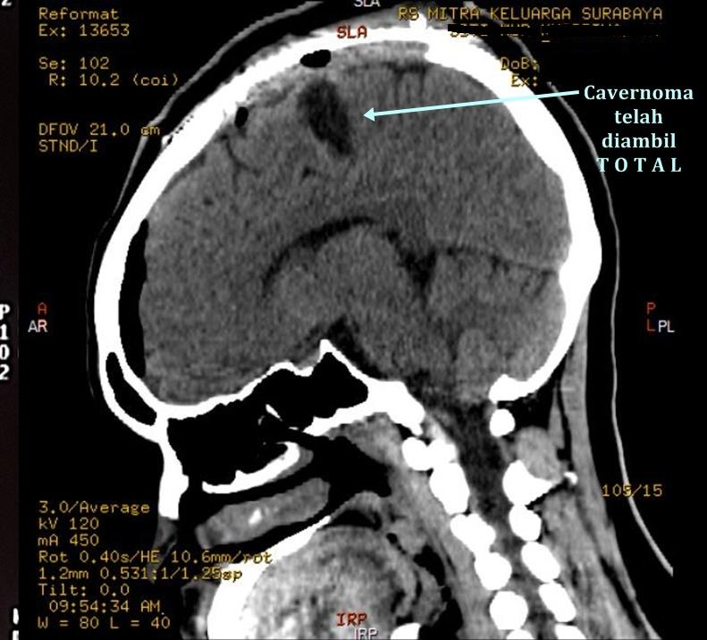
Operasi bedah mikro pengangkatan tumor pembuluh darah ini adalah satu-satunya cara pengobatan. Kelainan ini tidak radiosensitif, artinya cavernoma tidak bisa disinar dan tidak bisa dilakukan tindakan endovaskuler. Operasi pengangkatan cavernoma bersifat kuratif dan tekniknya bergantung pada keadaan pasien sebelum operasi, berdasarkan anatomi, letak, dan gejala yang ditimbulkan.
Cavernous Malformation terutama yang terletak pada permukaan otak, bisa diangkat secara aman dengan operasi. Kelainan ini dapat dipisahkan dari otak dan diangkat tanpa mengganggu jaringan otak normal karena biasanya batasnya jelas dan bila pernah pecah, akan ada batas darah yang mengelilingi lesi (hemosiderinrim). Bahkan cavernoma pada batang otak juga dapat diangkat dengan aman tanpa menimbulkan kelainan saraf lainnya (deficit neurologis).
Tim Bedah Saraf serebrovaskuler di BSC Mitra Keluarga memberikan solusi kesembuhan yang sudah teruji dan terjamin dalam penanganan kasus-kasus sulit Cavernous Malformation, terutama yang letaknya dalam dan beresiko tinggi. Didukung dengan teknologi yang canggih, pengalaman para dokter yang sudah acap kali menangani kelainan ini, cavernoma bisa disembuhkan secara tuntas.
Gejala-gejala Cavernoma
Umumnya pasien mengalami kejang. Hingga mereka menyangka itu disebabkan oleh epilepsi. Oleh karena itu, banyak dokter umum yang tidak terlalu sering berinteraksi dengan cavernoma sering salah diagnosa sebagai kelainan yang lainnya.
Selain kejang, pasien biasanya merasakan nyeri kepala yang kronis. Terkadang pandangan berkurang, keseimbangan tubuh menurun. Hal tersebut tergantung pada letak dan ukuran cavernoma di otak.
Penanganan Cavernoma
Biasanya pasien yang telah mengerti bahwa ia penderita Cavernoma telah menjalani foto MRI. Untuk penunjangnya, lebih baik dilakukan DSA (Digital Subtraction Angiography) untuk mengetahui potensi perdarahan pada cavernoma.
Untuk kasus cavernoma, umumnya dokter bedah saraf akan menganjurkan melakukan operasi pengangkatan tumor. Namun jika hasil MRI menunjukkan hasil bahwa cavernoma berada di titik yang sangat sulit untuk diambil (contoh: Basal Ganglia), dokter akan merekomendasikan lainnya. Hanya akan dilakukan operasi pengangkatan jika kondisi sangat diharuskan untuk segera dilakukan operasi.
Ketika hal tersebut terjadi, pasien akan diberikan obat pereda nyeri kepala dan obat-obatan anti kejang, berdasarkan hasil pemeriksaan dan resep dokter.
Paska Operasi Cavernoma
Setelah menjalani operasi, pasien akan disarankan mengonsumsi obat anti kejang yang lambat laut dikurangi kadarnya. Pasien akan menginap di RS selama dua hingga tujuh hari. Bergantung terhadap kondisi kesehatan pasien.
